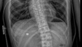
Skolioza u Dzieci: Objawy, Przyczyny i Sposoby Leczenia
Czy Twoje dziecko ma krzywe plecy? Podejrzewasz skoliozę, ale nie wiesz, od czego zacząć? Skolioza u dzieci to coraz częstszy problem, który – odpowiednio wcześnie wykryty – można skutecznie leczyć. … Czytaj dalej Skolioza u Dzieci: Objawy, Przyczyny i Sposoby Leczenia
Skopiuj adres i wklej go w swoim WordPressie, aby osadzić
Skopiuj i wklej kod na swoją witrynę, aby osadzić element